显微镜图像
类型和格式
SAW 支持三种组合的显微镜图像输入:
- 核染色图像
- 核染色 + 免疫荧光图像
- H&E染色图像
核染色图像
核染色在组织切片中不存在组织分离偏倚,对于确定组织区域和细胞位置具有较高的价值。Stereo-seq 实验和生信分析工具同时兼容了 ssDNA 和 DAPI 两种核染色试剂。
STOmics 的研发团队测试并对比了多种商业化的染色试剂,发现 ssDNA 染色对下游 mRNA 捕获率的影响最小,DAPI 对染色细胞核具有高度特异性,可以与其它荧光试剂一起使用,是一种常用的染料。这两种染色方法都可以看到轨迹线。
 (1).png)
ssDNA
核染色 + 免疫荧光图像
免疫荧光(immunofluorescence, IF)是一种广泛使用的基于图像的技术,用于可视化展示细胞中蛋白质的亚细胞分布,例如,细胞核可以用 DAPI 染色,而 T 细胞可以通过 CD3 识别。多重免疫荧光(multiplex IF, mIF)可以标记在组织切片上通过荧光显微镜同时扫描,Stereo-seq 生化流程和生信分析工具兼容 DAPI 和最多 6 个用户定义的 IF,从而实现对组织样本更多的空间研究。
 (1).png)
DAPI
.png)
APAK3_IF
.png)
TESK2_IF
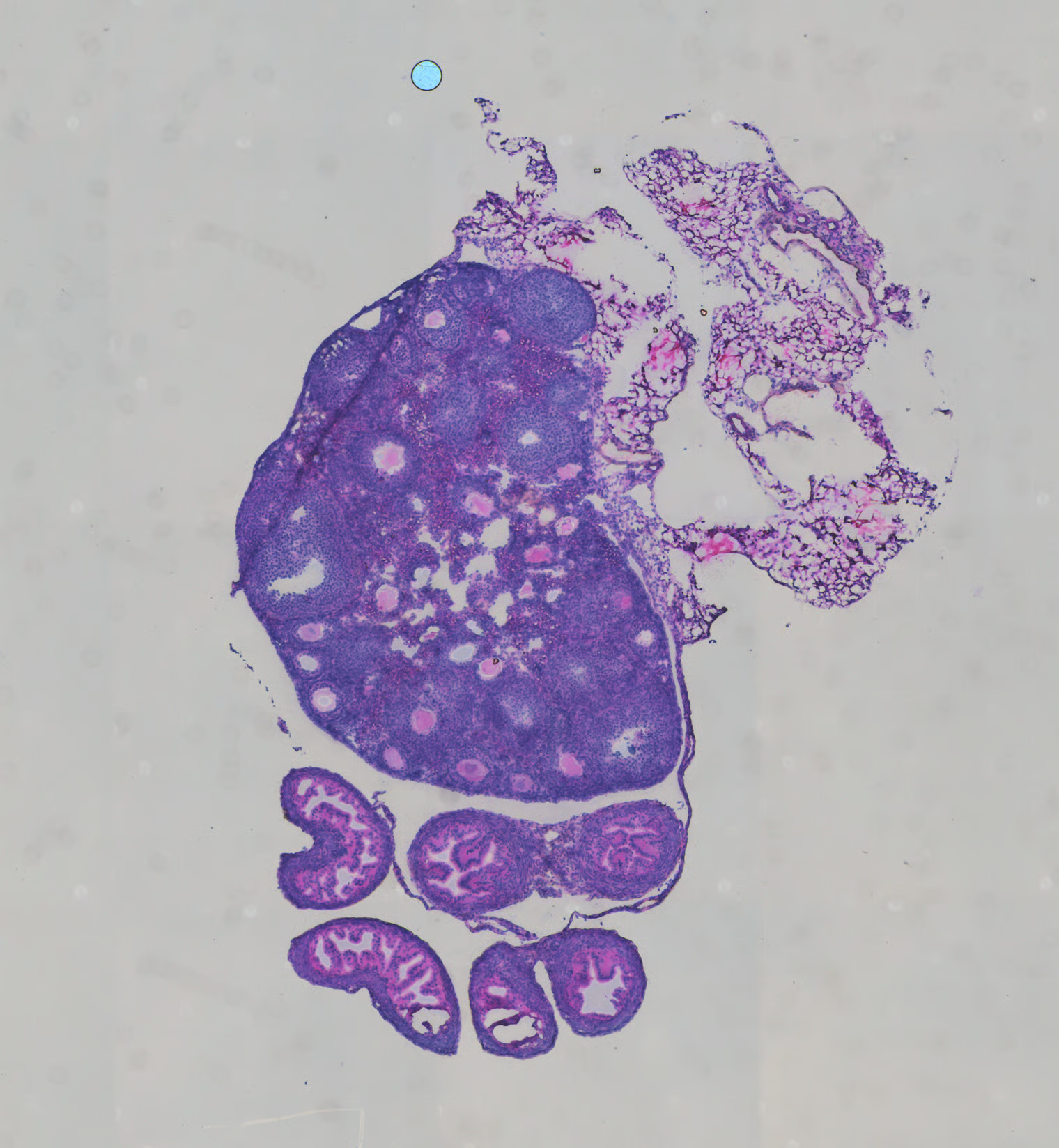
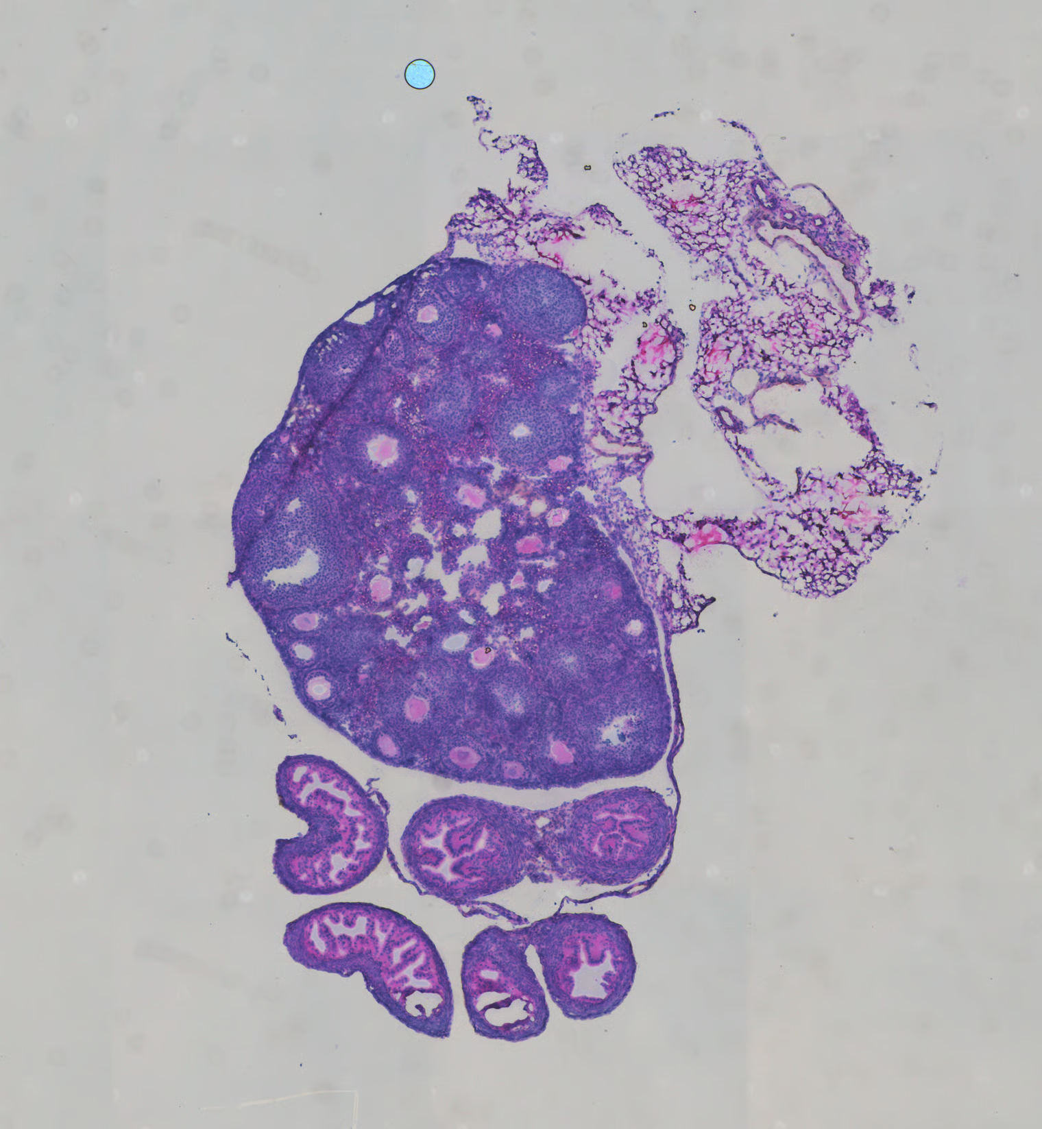
H&E图像
苏木精-伊红(Hematoxylin and eosin,H&E)染色是一种常用的组织染色,可为医学诊断提供组织学信息,被认为是金标准。苏木精主要将细胞核染成蓝紫色,而伊红主要将细胞质和细胞外基质染成不同深浅的粉红色,通过 Stereo-seq 生成的空间表达矩阵与 H&E 染色图像相结合,可以将细胞的形态与空间局部特征表达关联起来,挖掘组织切片中更多的信息。
.png)
H&E
图像类型和格式
如分析使用的显微镜图像为荧光染色图,请确认其为单通道图像文件。
如下为 StereoMap 和 SAW 支持的数据格式说明:
| 图像类型 | 图像格式 | 放大倍率 | Stereo-seq 芯片尺寸 |
|---|---|---|---|
| 核染色图像,比如:ssDNA或者 DAPI | 8 或 16 位的单张灰度图像 | 10X | <=2 cm x 3 cm |
核染色+免疫荧光图像 比如:DAPI +最多 6 个IF的图像 | 8 或 16 位的单张灰度图像 | 10X | <= 1 cm x 1 cm |
| 苏木精-伊红(H&E)染色图像 | 24位深的彩图 | 10X | <= 1 cm x 1 cm |
轨迹线
Stereo-seq 芯片表面具有周期性的轨迹线(水平和垂直轨迹线),在空间表达的热图上会显示为狭窄的线条,因轨迹线区域是没有捕获探针的,可以辅助矩阵跟图像的对齐。为最大程度地减小其对下游 mRNA 捕获率的影响并提高显微镜图像中轨迹线的可见性,设计了 Stereo-seq 技术的组织染色和成像标准操作规程(SOP)。因在基因热图和显微镜图像上同时可以看到这些轨迹线,因此这些线条可以用作图像对齐的位置标记。
以下是图像和热图上的轨迹线示例。
展示的图像已经过调整,以便轨迹线可以清晰的可视化。
| 荧光图像上的轨迹线 | 彩色图像上的轨迹线 | 表达热图上的轨迹线 |
|---|---|---|
轨迹线为浅白色线条 |
轨迹线为黑色线条 |
SAW 软件嵌入了自动化图像处理算法,用于识别组织和细胞的边界,并在Stereo-seq 芯片上检测轨迹线,以便将图像与特征表达矩阵对齐。如果无法检测到轨迹线或组织/细胞边界不清晰,可能需要手动处理协助。
.png)
.png)
.png)